
エコー検査(超音波検査)
エコー検査とは
超音波検査(エコー検査)は、体に超音波を当てて臓器や血管の状態を調べる、安全で痛みのない検査です。放射線を使わないため被ばくの心配がなく、小さなお子さまから高齢の方まで幅広く安心して受けていただけます。
当院では腹部エコーと頸動脈エコーを行っています。特に腹部エコーでは、一般的な脂肪肝の有無だけでなく、脂肪肝の程度を数値化できる最新エコー機器を導入しており、生活習慣病の管理や将来の肝疾患予防に大きく役立ちます。
腹部エコー

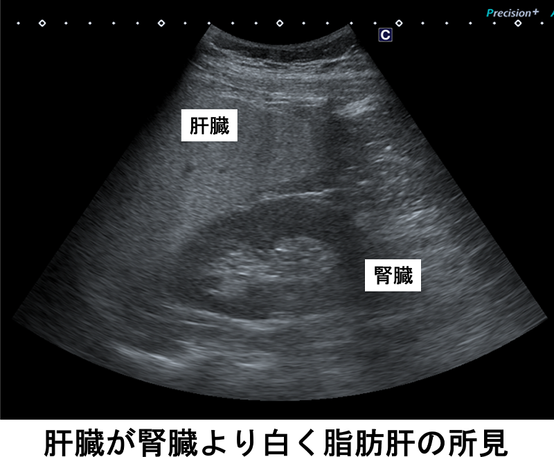
腹部エコーでは、肝臓・胆のう・膵臓・腎臓・脾臓などの臓器を調べます。また、腸閉塞や腸炎などについても状態の把握や診断の参考となります。胆石や腫瘍、炎症の有無などを調べるだけでなく、当院では特に脂肪肝の評価に力を入れています。
脂肪肝は、日本人の約3割にみられるといわれ、放置すると脂肪肝炎や肝硬変、肝がんへと進行する可能性があります。当院導入のエコーでは、肝臓にどのくらい脂肪が蓄積しているかを定量的に数値化でき、画像だけでは捉えにくい早期の脂肪肝の評価にも役立ちます。健診で肝機能異常(AST・ALT上昇など)を指摘された方には、採血だけでなく腹部エコーでの評価をおすすめします。
腹部エコーで分かる主な疾患
肝臓
- 脂肪肝
- 脂肪肝炎
- 肝のう胞
- 肝腫瘍(良性・悪性の鑑別の参考)
- 肝硬変に伴う形態変化の評価
胆のう・胆道
- 胆石
- 胆のう炎
- ポリープ
- 胆のう腫瘍の評価の参考
膵臓
- 急性・慢性膵炎
- 膵のう胞
- 膵腫瘍のスクリーニング
腎臓・泌尿器
- 腎結石
- 水腎症
- 腎のう胞
- 腎腫瘍の評価
腹部大動脈

- 腹部大動脈瘤の有無
- 動脈硬化性変化の有無
※ 腹部大動脈瘤は自覚症状が出にくく、高血圧・喫煙歴・高齢の方では特にエコー評価が有用です。
脾臓・その他
- 脾腫
- 腸管拡張(腸閉塞の参考所見)
- 下腹部痛の原因検索の補助
頸動脈エコー
頸動脈エコーでは、首の血管(頸動脈)の動脈硬化の程度を調べます。血管の壁の厚さ、血流の速さ、プラークの有無を確認できます。頸動脈は全身の動脈硬化の状態を反映するといわれ、脳梗塞や心筋梗塞のリスク予測に役立ちます。
糖尿病・高血圧・脂質異常症などの生活習慣病をお持ちの方は動脈硬化が進んでいても症状が出にくいため、定期的なチェックが大切です。「脳梗塞の予防検査」として健康意識の高い方にも推奨されます。
当院のエコー検査の特徴
- 放射線を使わないため体に優しい
- 検査時間はおよそ5〜10分
- 痛みがなくリラックスして受けられる
- 検査後にその場で結果説明が可能
- 脂肪肝を数値化できる腹部エコーを導入
このような方におすすめ
- 健診で肝機能異常や脂肪肝を指摘された方
- 糖尿病・高血圧・脂質異常症などの生活習慣病のある方
- 脳梗塞や心筋梗塞の家族歴がある方
- 動脈硬化や血管年齢が気になる方
- 健診だけでは不安がある方、より詳しい検査を希望される方
よくある質問(FAQ)
エコー検査は痛みはありますか?
ありません。ゼリーを塗って探触子をあてるだけで、リラックスして受けていただけます。
食事制限は必要ですか?
腹部エコーは正確な評価のため検査の4〜6時間前から絶食をお願いしています。頸動脈エコーは食事制限は不要です。
検査時間はどれくらいですか?
腹部エコー・頸動脈エコーともに5〜10分程度です。

結果はいつわかりますか?
当日にすぐ説明いたします。必要に応じて採血や追加検査も組み合わせて診断します。








